- Szájsebészet
- Implantáció
- Fogágy-betegség, Parodontológia
- Fogszabályozás
- Cirkónium-oxid korona
- Porcelán korona
- Lézeres kezelés
- Fogfehérítés
- Jacket-korona
- Fogkő-eltávolítás
- Esztétikus tömések
- Gyökérkezelés
- Inlay
- Inlay híd
- Szájüregi rákszűrés
- Panoráma-röntgen
- Teleröntgen
- Fogászati CT (CBCT)
- Intraoralis-röntgen
Endokrinológia
Fogászat
Bőrgyógyászat
Allergológia
Kardiológia
Reumatológia
Radiológia
Laboratóriumi vizsgálatok
Neurológia
Dietetika
Mammogáfia
Emlő ultrahang
Hasi ultrahang
Pajzsmirigy ultrahang
Tájékoztatjuk kedves Pácienseinket, hogy egyes fogászati kezelések megkezdéses előtt PCR alapú koronavírusteszt végzése szükséges. A kezelést végző fogorvos egyedileg bírálja el az eseteket és ad tájékoztatást a kezelési terv felállításakor a teszt esetleges szükségességéről.
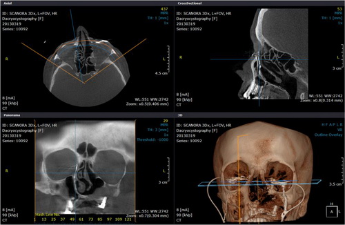
Fogászati CT (CBCT)
A panoráma-röntgen 2 dimenziós képalkotásához képest a fogászati CT 3 dimenziós képalkotása tizedmilliméter pontossággal ábrázolja az állkapcsokat, a bennük elhelyezkedő fogak helyzetét. Ezáltal olyan plusz információkhoz juthatunk (milyen vastag és milyen sűrűségű az állcsont csontszerkezete, környező anatómiai képletek), amelyek szájsebészeti beavatkozások sikeres elvégzéséhez nélkülözhetetlenek.
Hagyományos fogpótlási eljárások (híd, korona) előtt is érdemes elvégeztetni e precíz képalkotói vizsgálatot, hiszen egy fogágybetegségtől
(parodontosis) meggyengített (ám a hagyományos röntgennel nem teljesen megítélhető állapotú) fogra felhelyezett híd csak rövid ideig képes ellátni funkcióját, a fogmű hamarosan cserére szorulhat.
Ezen kívül egy bonyolultnak ígérkező bölcsességfog eltávolítása előtt (az arcüreg közelsége, közelben futó ideg érintettsége) is ajánlott a kezelés minél szövődmény mentesebb, a lehető legkevesebb kellemetlenséggel történő elvégzéséhez.
Ezen vizsgálómódszerrel állkapocs-ízületi problémáktól szenvedő betegek kaphatnak a gyógyulásukhoz szükséges pontos diagnózishoz, illetve krónikus arcüreg gyulladás forrása is kimutatható e korszerű technológiával.
A fogászati röntgenfelvételekhez a pácienst mindig megfelelő ólomköpennyel látjuk el, a jó felvételhez elegendő legalacsonyabb sugárdózis mellett készítjük.


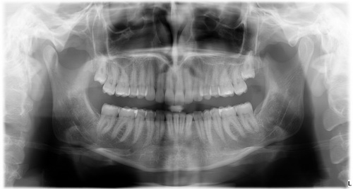
Panoráma-röntgen
A SORADEX finn és a TROPHY francia cégek világszínvonalú röntgenkészülékei állnak a Medconnexus Gyógyászati Központbans rendelkezésre, hogy amennyiben a fogászati kezelések előtt, vagy alatt röntgen, vagy panoráma-röntgen felvétel válik indokolttá, akkor azonnal nagy felbontásban elkészíthető legyen.
Természetesen azon betegek részére is készséggel készítünk röntgen-felvételt, akik más rendelőben végeztetik kezeléseiket, csak egy röntgenfelvétel elkészítése céljából keresik fel rendelő-komplexumunkat.











