- Szájsebészet
- Implantáció
- Fogágy-betegség, Parodontológia
- Fogszabályozás
- Cirkónium-oxid korona
- Porcelán korona
- Lézeres kezelés
- Fogfehérítés
- Jacket-korona
- Fogkő-eltávolítás
- Esztétikus tömések
- Gyökérkezelés
- Inlay
- Inlay híd
- Szájüregi rákszűrés
- Panoráma-röntgen
- Teleröntgen
- Fogászati CT (CBCT)
- Intraoralis-röntgen
Endokrinológia
Fogászat
Bőrgyógyászat
Allergológia
Kardiológia
Reumatológia
Radiológia
Laboratóriumi vizsgálatok
Neurológia
Dietetika
Mammogáfia
Emlő ultrahang
Hasi ultrahang
Pajzsmirigy ultrahang
Tájékoztatjuk kedves Pácienseinket, hogy egyes fogászati kezelések megkezdéses előtt PCR alapú koronavírusteszt végzése szükséges. A kezelést végző fogorvos egyedileg bírálja el az eseteket és ad tájékoztatást a kezelési terv felállításakor a teszt esetleges szükségességéről.
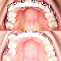
Fogszabályozás
Mi is pontosan a fogszabályozás?
A fogszabályozás (felnőtt fogszabályozás, gyermek fogszabályozás) kezelés célja az állcsontok és a fogazat funkcionális és esztétikai helyreállítása. A fogazati rendellenesség kialakulásában több tényező szerepel.
Az un. anomália lehet örökletes és szerzett és ezek kombinációja is. Ezért nem lehet eléggé hangsúlyozni a korai felismerés és korai kezelés fontosságát. Tévhit, hogy a fogszabályozás elkezdésének időpontja akkor esedékes, ha már az összes maradófog "kinőtt".
A gyermekeket érdemes már 6-8 éves korban az első gyermek fogszabályozás vizsgálatra elhozni. Bizonyos eltérések kezelését és az esetleges rossz szokásokról való leszoktatást már ebben a korban el kell kezdenünk. A korai felismerés nagyon fontos, hiszen ilyenkor még bizonyos rendellenességek még könnyen kezelhetők.
Később komplexebb kezelés válhat szükségessé és ez sajnos az ún. növekedési kiugrás után nehezebben lehet kezelni a pácienseket.
A kezelés menete
A megfelelő és körültekintő diagnosztizálás után elkészítjük a kezelési tervet. A diagnózishoz két darab röntgenfelvétel és az állcsontokról lenyomat vétele szükséges. Ezután egy komplex elemzést végzünk, megtervezzük a kezelés menetét.
Két alapvető osztályba soroljuk a fogszabályozó készülékeket:
Kivehető készülékek
A kivehető készülékek lehetnek egyszerű műanyag lemezek, különféle kiegészítő elemekkel, ill. un. funkciós bimaxilláris készülékek, melyek mindkét állcsontot befogó és az izommunkát felhasználó készülékek a fogak mozgatására, valamint az állcsontok növekedésére is hatnak. E készülékeknek fő szerepük az állcsontokra kifejtett hatás, illetve a fogak döntését lehet elérni velük.
Rögzített készülékek
A rögzített készülékekkel már a fogak testes elmozdulását is el lehet érni.
Rögzített készüléktípusok:
- "Hagyományos" fémből készült készülékek (anyaguk rozsdamentes acél), melyek a fogakra vannak fixálva, a bracketteket az ívhez gumikarikákkal vagy fémmel rögzítjük.
- Akinek az esztétika nagyon fontos vagy fémallergiája van választhat porcelán és műanyag bracketteket is.
Felnőtt fogszabályozás
A növekvő esztétikai igényeknek megfelelően a felnőtt fogszabályozás egyre elterjedtebb felnőtt korban. Egy szép mosoly, a megnyerő külső már alapfeltétele modern életünknek. Emellett a rágóapparátus funkcionális stabilitása, a rágóizület egészségének megörzése is nagyon fontos. A felnőtt fogszabályozás kezelésnek nincs felső korhatára, a fogágy állapota a mérvadó tényező, melyet első vizsgálatkor felmérünk. Ha már foghiány is van a szájban, akkor gyakran komplex kezelés szükséges, mely kombinálódhat fogpótlással, valamint konzerváló fogászattal.
Mind a felnőtt fogszabályozás, mind pedig a gyermek fogszabályozás elengedhetetlen feltétele a megfelelő szájhigiéne. Ennek alapja a fogak és a fogszabályozó készülék otthoni tisztitása speciális fogkefékkel, valamint a rendelői professzionális fogtisztitás és az esetleges fogszuvasodások ellátása, tömések cseréje még a felnőtt vagy gyermek fogszabályozás elkezdése előtt.











