- Szájsebészet
- Implantáció
- Fogágy-betegség, Parodontológia
- Fogszabályozás
- Cirkónium-oxid korona
- Porcelán korona
- Lézeres kezelés
- Fogfehérítés
- Jacket-korona
- Fogkő-eltávolítás
- Esztétikus tömések
- Gyökérkezelés
- Inlay
- Inlay híd
- Szájüregi rákszűrés
- Panoráma-röntgen
- Teleröntgen
- Fogászati CT (CBCT)
- Intraoralis-röntgen
Endokrinológia
Fogászat
Bőrgyógyászat
Allergológia
Kardiológia
Reumatológia
Radiológia
Laboratóriumi vizsgálatok
Neurológia
Dietetika
Mammogáfia
Emlő ultrahang
Hasi ultrahang
Pajzsmirigy ultrahang
Tájékoztatjuk kedves Pácienseinket, hogy egyes fogászati kezelések megkezdéses előtt PCR alapú koronavírusteszt végzése szükséges. A kezelést végző fogorvos egyedileg bírálja el az eseteket és ad tájékoztatást a kezelési terv felállításakor a teszt esetleges szükségességéről.
Fogkő-eltávolítás
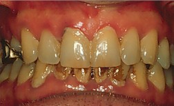
A fogkő elmeszesedett lepedék. Erősen tapad a fog felszínéhez, valamint a fogpótlásokhoz is. Megkülönböztetünk az ínyszélhez viszonyítva íny feletti, és íny alatti fogkövet.
Az íny feletti fogkő sárgásfehéres színű, melyet a dohányzás és a különböző ételszínezékek feketén elszínezhetnek. Az íny alatti fogkő sötétbarna színű. Szabad szemmel nem látható.
A felhalmozódó lepedék, valamint a fogkő ínygyulladáshoz vezet.
A gyulladás súlyosbodásával krónikus ínygyulladás alakul ki. Ha a gyulladás a fogágy mélyebb szöveteire terjed, az íny sorvadásához, majd csontpusztuláshoz vezet.
Ultrahangos fogkőeltávolítás (depurálás)
A Medconnexus Gyógyászati Központban a svájci piacvezető EMS ultrahangos fogkőeltávolító berendezést alkalmazzuk. A készülék az ultrahang frekvenciájának megfelelő rezgésszámmal rezeg. A rezgések hatására képződő légbuborékok, összeesésük révén, porrá zúzzák a fogköveket. A rezgési energia hőt termel, így a kezelés során a készüléket vízzel folyamatosan hűteni kell. Az ultrahangos depurálás nem károsítja a fogzománcot. Erős fognyaki érzékenység esetén helyi érzéstelenítést alkalmazunk az esetleges fájdalom elkerülése miatt. A fogkő eltávolítását egy fogfehérítő készítménnyel történő polírozás követi. Pacemekerrel rendelkező betegnél szigorúan tilos a használata, mivel megzavarja a szívritmus- szabályozó elektronikáját.











